BREAKING NEWS

Senin, 01 Februari 2021

Pellegrini Stieda - Pellegrini-Stieda lesion - YouTube - Pellegrini stieda syndrome is a medical problem which is characterized by pain, swelling and inflammation in the knee.

Pellegrini Stieda - Pellegrini-Stieda lesion - YouTube - Pellegrini stieda syndrome is a medical problem which is characterized by pain, swelling and inflammation in the knee.. It is a common incidental finding on knee radiographs. Learn about this soft tissue calcification around the knee joint. Most of the cases of pellegrini stieda lesions are not symptomatic, and pellegrini stieda syndrome is said to exist when the lesion becomes symptomatic i.e. This occurs due to the deposition of calcium on the inner side of the knee. One presumed mechanism of injury is.

Pain and restriction of movements. It is a common incidental finding on knee radiographs. The diagnosis pellegrini stieda disease was made. Learn about this soft tissue calcification around the knee joint. Related online courses on physioplus.

Pelligrini-Stieda Disease
Pelligrini-Stieda Disease from www.gentili.net
Pain and restriction of movements. A heterogeneous disorder not synonymous with ossification/calcification of the tibial collateral ligament—anatomic and imaging investigation. It is a common incidental finding on knee radiographs. #foamed #foamrad #radiology #rad #elearnrad #voxelz #varunbabu #drbabu. Most of the cases of pellegrini stieda lesions are not symptomatic, and pellegrini stieda syndrome is said to exist when the lesion becomes symptomatic i.e. One presumed mechanism of injury is. The diagnosis pellegrini stieda disease was made. Learn about this soft tissue calcification around the knee joint.

It is a common incidental finding on knee radiographs.

Pellegrini stieda syndrome is a medical problem which is characterized by pain, swelling and inflammation in the knee. It is a common incidental finding on knee radiographs. Related online courses on physioplus. Learn about this soft tissue calcification around the knee joint. One presumed mechanism of injury is. A heterogeneous disorder not synonymous with ossification/calcification of the tibial collateral ligament—anatomic and imaging investigation. The origin of this tissue is controversial. #foamed #foamrad #radiology #rad #elearnrad #voxelz #varunbabu #drbabu. This occurs due to the deposition of calcium on the inner side of the knee. The diagnosis pellegrini stieda disease was made. Pain and restriction of movements. Most of the cases of pellegrini stieda lesions are not symptomatic, and pellegrini stieda syndrome is said to exist when the lesion becomes symptomatic i.e.

#foamed #foamrad #radiology #rad #elearnrad #voxelz #varunbabu #drbabu. This occurs due to the deposition of calcium on the inner side of the knee. It is a common incidental finding on knee radiographs. One presumed mechanism of injury is. Pain and restriction of movements.

Astrambiente Sport: INFORTUNI E SPORT : alcuni consigli
Astrambiente Sport: INFORTUNI E SPORT : alcuni consigli from 1.bp.blogspot.com
Learn about this soft tissue calcification around the knee joint. The diagnosis pellegrini stieda disease was made. Related online courses on physioplus. This occurs due to the deposition of calcium on the inner side of the knee. It is a common incidental finding on knee radiographs. The origin of this tissue is controversial. #foamed #foamrad #radiology #rad #elearnrad #voxelz #varunbabu #drbabu. Pellegrini stieda syndrome is a medical problem which is characterized by pain, swelling and inflammation in the knee.

Related online courses on physioplus.

One presumed mechanism of injury is. A heterogeneous disorder not synonymous with ossification/calcification of the tibial collateral ligament—anatomic and imaging investigation. Pellegrini stieda syndrome is a medical problem which is characterized by pain, swelling and inflammation in the knee. It is a common incidental finding on knee radiographs. The diagnosis pellegrini stieda disease was made. This occurs due to the deposition of calcium on the inner side of the knee. #foamed #foamrad #radiology #rad #elearnrad #voxelz #varunbabu #drbabu. Learn about this soft tissue calcification around the knee joint. Pain and restriction of movements. Related online courses on physioplus. Most of the cases of pellegrini stieda lesions are not symptomatic, and pellegrini stieda syndrome is said to exist when the lesion becomes symptomatic i.e. The origin of this tissue is controversial.

The origin of this tissue is controversial. One presumed mechanism of injury is. Related online courses on physioplus. Pellegrini stieda syndrome is a medical problem which is characterized by pain, swelling and inflammation in the knee. Learn about this soft tissue calcification around the knee joint.

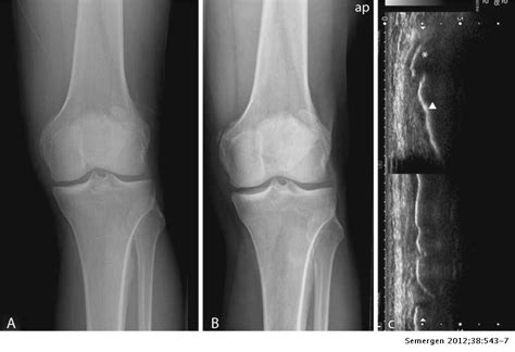
Good result after surgical treatment of Pellegrini-Stieda ...
Good result after surgical treatment of Pellegrini-Stieda ... from media.springernature.com
#foamed #foamrad #radiology #rad #elearnrad #voxelz #varunbabu #drbabu. A heterogeneous disorder not synonymous with ossification/calcification of the tibial collateral ligament—anatomic and imaging investigation. The diagnosis pellegrini stieda disease was made. This occurs due to the deposition of calcium on the inner side of the knee. It is a common incidental finding on knee radiographs. Related online courses on physioplus. Pellegrini stieda syndrome is a medical problem which is characterized by pain, swelling and inflammation in the knee. One presumed mechanism of injury is.

Pain and restriction of movements.

A heterogeneous disorder not synonymous with ossification/calcification of the tibial collateral ligament—anatomic and imaging investigation. Related online courses on physioplus. It is a common incidental finding on knee radiographs. The origin of this tissue is controversial. #foamed #foamrad #radiology #rad #elearnrad #voxelz #varunbabu #drbabu. One presumed mechanism of injury is. This occurs due to the deposition of calcium on the inner side of the knee. Pain and restriction of movements. The diagnosis pellegrini stieda disease was made. Most of the cases of pellegrini stieda lesions are not symptomatic, and pellegrini stieda syndrome is said to exist when the lesion becomes symptomatic i.e. Learn about this soft tissue calcification around the knee joint. Pellegrini stieda syndrome is a medical problem which is characterized by pain, swelling and inflammation in the knee.

The origin of this tissue is controversial pellegrini. Related online courses on physioplus.

Posting Komentar

 
Copyright © 2014 KathryneDziuba

Powered by JoJoThemes